Tự Hào Mang Đến Nụ Cười Tự Tin, Rạng Ngời Cho Khách Hàng

Chức Năng Nha Khoa

Dự Phòng – Phục Hồi – Thẩm Mỹ

Dự phòng - Phòng ngừa

Dự Phòng Phòng Ngừa

Chuyên khoa thực hiện các dịch vụ, thủ thuật nha khoa sau thuộc phạm vi của nha khoa dự phòng: các dịch vụ chẩn đoán để phát hiện các vấn đề răng miệng: Kiểm tra toàn bộ vùng miệng (Check-ups), Chụp phim X quang. Lấy cao răng và mảng bám. Giáo dục nha khoa

Điều Trị - Phục Hồi

Điều Trị – Phục Hồi

Tiếp nhận và điều trị các trường hợp bệnh lý răng miệng dành cho tất cả các đối tượng. Các bệnh lý phổ biến nhất được thống kê bao gồm sâu răng, viêm lợi nướu, viêm nha chu, điều trị tủy răng, điều trị áp xe răng,… Là một "hậu phương" của Nha khoa Vạn Thành, chúng tôi đã điều trị giúp rất nhiều khách hàng có được tiền đề sức khỏe răng miệng vững chắc để đủ điều kiện thực hiện phục hình thẩm mỹ răng, thay đổi nụ cười, thay đổi diện mạo

Nha Khoa Thẩm Mỹ

Nha Khoa Thẩm Mỹ

Nha khoa thẩm mỹ là thế mạnh của phòng khám. Chúng tôi thực hiện chức năng chẩn đoán, phân tích hiệu quả và tư vấn phương án niềng răng cho các đối tượng theo độ tuổi, tình trạng răng miệng và điều kiện tài chính. Tư vấn, đề xuất và thực thi giải pháp nha khoa thẩm mỹ như niềng răng – chỉnh nha, trồng răng, cấy ghép implant,… sử dụng công nghệ quốc tế hàng đầu, mang lại hàm răng và nụ cười hoàn hảo, lấy lại sự tự tin cho khách hàng.

Khách Hàng Vạn Thành

Nụ cười tự tin – sức khỏe bền lâu

Khách hàng Vạn Thành

Trang Thiết Bị

Hệ thống thiết bị hiện đại đạt chuẩn quốc tế

Thiết bị nha khoa
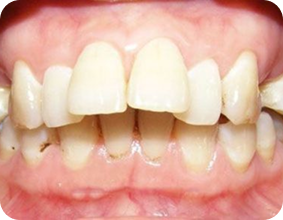
Mảng bám vôi răng

Mảng bám vôi răng

Mẻ răng gãy răng

Bạn bị mẻ răng hoặc gãy răng

Hô móm răng thưa

Bạn bị hô móm răng thưa không đều

Mất nhiều răng

Bạn bị mất nhiều răng

Trang Thiết Bị – Máy Móc Hiện Đại

Dịch Vụ Nổi Bật

Mang đến giải pháp tối ưu cho khách hàng

Cạo vôi răng

Cạo vôi răng

  • 20 – 30 phút
  • Đánh bóng răng
  • Đặt hẹn trước
Đặt hẹn ngay
Niềng răng

Chỉnh nha – Niềng răng

  • 6 tháng đến 24 tháng
  • Hỗ trợ trả góp
  • Không còn hô móm
Đặt hẹn ngay
Implant

Trồng răng implant

  • 1 ngày cắm trụ
  • bảo hành lên đến 15 năm
  • Phục hồi răng mất
Đặt hẹn ngay

Đặt Lịch Tư Vấn Online – Đăng Ký Khám

Hỗ trợ đặt lịch khám online, tư vấn qua điện thoại và đặt lịch hẹn trước.

Thông tin đặt lịch

Bác sĩ nha khoa